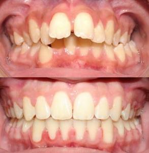
Niềng răng hô là phương pháp điều trị răng hô an toàn, hiệu quả nhất, đem lại một kết quả kết quả như ý với hàm răng đều đặn, hết hô vĩnh ...
Các phương pháp điều trị răng hô triệt để
Những trường hợp khiếm khuyết răng hô hết 70% là do di truyền, ngoài ra còn các nguyên nhân gây khiếm răng hô khác. Vậy răng hô là gì, các ...
Răng hô nhẹ thì khắc phục ra sao ?
Thưa bác sĩ nha khoa! Không biết khiếm khuyết răng hô điều trị triệt để được không ạ? Em bị hô răng nhẹ nên rất ngại cười nói trong giao ti...
Công nghệ 3D niềng răng móm nhanh là gì?
Niềng răng móm giờ đây đã trở nên nhanh hơn, hiệu quả cao hơn nhờ ứng dụng công nghệ 3D là giải pháp chỉnh nha tiên tiến giúp loại bỏ khuyế...
Giải pháp điều trị răng móm hiệu quả
Loại bỏ khiếm khuyết răng móm là một trong những nhu cầu cần thiết cho những ai không may bị móm nhằm đem lại nét thẩm mỹ cho khuôn mặt. Ră...
Các phương pháp niềng răng móm ?
Niềng răng móm là kỹ thuật chỉnh móm hiệu quả giúp loại bỏ khuyết điểm móm do răng, đem đến cho bạn một hàm răng đều đẹp hơn. Tuy nhiên, bạ...
Niềng răng móm chỉ định cho những trường hợp nào ?
Một trong những phương pháp pháp đem lại hiệu quả cao loại bỏ khiếm khuyêt hàm răng móm thiếu hài hòa là phương pháp niềng răng. Vậy niềng ...






